청주실활치미백 신경치료 한 치아가 어두워져 고민이에요

청주실활치미백

 

앞니에 신경치료를 받았는데

시간이 지날수록 어두워진 적 있으신가요?

 

이는 치료를 진행했던 치아만 치아 색이

어둡게 변해 건강한 치아에 비해 치아 색이

확연히 차이나게 되는데요.

 

이로인해 심미적으로 문제가 생겨 콤플렉스가 생길 수 있습니다.

 

특히 앞니의 경우 크라운치료가 아닌

실활치 미백으로도 이러한 문제를 해결할 수 있는데요.

 

오늘은 앞니 실활치 미백을 위해 연세라온치과에

내원해 주신 환자분을 소개해 드리도록 하겠습니다.

 

 

위 환자분은 교정치료 중 치아 우식이

발견되어 우식 치료를 의뢰받고 내원해 주셨습니다.

 

처음 내원해 주셨을 당시 근관치료가 되어있었던 상태였으며,

이때는 치아 변색은 없고 인접면 우식만 관찰되었습니다.

 

그 후 약 2년 뒤, 군 입대를 앞두고

치아가 변색되어 재방문 해주셨는데요.

 

현재는 교정 치료가 마무리된 상태였습니다.

 

 

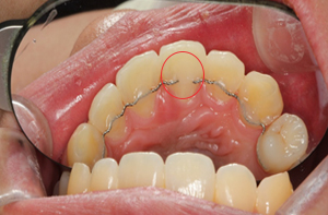
육안으로 보기에도 한 눈에 앞니 변색이 확인되었습니다.

 

일반적으로 신경치료가 된 치아는

크라운을 수복하여 마무리되기 마련이지만,

환자분께서는 과거 교정 도중 치료를 진행하여

크라운을 수복하지 못했고,

현재도 바로 군 입대를 앞두고 있어

당장 크라운을 수복할 수 없는 상황입니다.

 

하지만 치아의 외형이 크게 손상되지 않는

앞니라는 점을 고려하여 치아를 보존할 수 있는

청주실활치미백으로 치료계획을 세워보기로 하였습니다.

 

먼저, 실활치신경이 괴사되어

생활력이 없어진 치아를 일컫는데요.

 

치아 내부의 혈액 공급이 차단되고

감각 또한 잃어버리게 되는 상태를 말합니다.

 

청주실활치미백이란 쉽게 말해,

일반적인 치아 미백은 치아의 겉면에

미백제를 도포하여 밝게 만들어주는 반면

실활치 미백은 치아 내부에 미백제를 도포하여

치아를 밝게 만들어준다고 생각하시면 됩니다.

(단, 치아 내부에 포스트가 존재하는 경우에는

미백제를 넣을 수 있는 공간이 부족하여

실활치 미백이 불가능할 수 있습니다.)

 

 

먼저 앞니 치료를 위해 치료 당일 치아를 최소로 삭제하되,

내부의 오염 물질을 확실하게 제거해 줍니다.

 

그 다음 치아 내부를 깨끗하게 정리하여

미백제를 치아 내부에 적용합니다.

 

그 후, 임시로 가봉하여 미백제가

치아를 밝게 만들어주도록 몇일 기다려줍니다.

 

이때 신경관 입구를 제대로 막지 않으면

미백제가 신경관으로 흘러들어가면서

염증을 발생시킬 수 있으니 주의해야 하며,

환자분께서는 임시 약제가 탈락되지 않도록

식사 시 앞니를 사용하지 않는 것이 좋고

혹시 탈락되었다면 바로 치과로 내원해 주셔야 합니다.

 

 

3일 후, 치아가 밝아진 모습을 볼 수 있는데요.

 

실활치 미백은 시간이 지날수록

점점 밝아지기 때문에 적정 시기가 되었을 때,

다시 약제를 제거한 후 보강제로 충전하여

치료를 마무리하게 됩니다.

 

환자분께서는 다행히 군 입대 전 문제를

해결하고 갈 수 있어 다행이라 하시며,

조심히 사용하시겠다며 휴가 때

다시 검진 오시기로 하셨습니다.

 

 

청주실활치미백 후에는 신경치료가 되어있더라도

치료 후 몇일 간은 시림 증상이 나타날 수 있으며,

신경치료를 진행한 치아는 약해진 상태이기 때문에

최대한 사용하지 않도록 주의해주어야 합니다.

 

 

연세라온치과에서는 풍부한 임상 경험의 보건복지부

인증 치주과 전문의 대표원장님께서 자연치아를

최대한 살려드리기 위해 노력하고 있습니다.

 

이로 인해 환자분이 만족할 수 있는 치료가 가능합니다.

 

앞니 신경치료 후 어두워진 치아로 고민이시라면

연세라온 치과에 내원하여 청주실활치미백으로

콤플렉스를 해결하시길 바랍니다.

 

*모든 증례 사진은 의료법 제23조, 제 56조에 의거하여,
당사자의 동의하에 게시하였습니다.
*치료 사진은 모두 본원에서 치료한 환자분의 사진입니다.
*치료 사진은 모두 동일인의 사진이며,
동일조건에서 촬영하였습니다.
*개인의 차이에 따라 시술 및 수술 후 부작용이 발생할 수 있으며,
의료진과 충분한 상담을 받으시기 바랍니다.

 



문의 전화

043-716-2870

네이버 예약

네이버 예약